Calculus Bridge Removal: An In-Depth Video Tutorial


Calculus Removal YouTube
Calculus Removal YouTube from www.youtube.com

If you're considering having a calculus bridge removed, then you've come to the right place. This in-depth video tutorial will take you through the entire process, from the initial consultation to post-procedure care. You'll learn what a calculus bridge is, the various techniques used to remove them, the risks associated with the procedure, as well as what you can do to ensure a successful outcome. So, let's get started!

What is a Calculus Bridge?

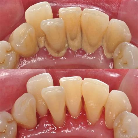
A calculus bridge is a dental condition that occurs when plaque and tartar build up between two teeth. Over time, this accumulation of plaque and tartar forms a bridge-like structure, which can be difficult to remove with a toothbrush, floss, or other methods. Calculus bridges often cause pain and discomfort, and can lead to other dental problems if left untreated.

What Techniques are Used to Remove Calculus Bridges?

There are several techniques used to remove calculus bridges, including scraping, sonic waves, and laser treatment. Scraping is the most common method and involves using a special dental tool to gently scrape away the bridge. Sonic waves are also used, and involve sending vibrations through the bridge to break it up. Finally, laser treatment is the most advanced technique and involves using a laser to break up the bridge.

What are the Risks Associated with Calculus Bridge Removal?

As with any dental procedure, there are potential risks associated with calculus bridge removal. These include the risk of infection, damage to the surrounding teeth, increased sensitivity, and pain. It's important to speak to your dentist about the risks before proceeding with the procedure.

What Can I do to Ensure a Successful Outcome?

There are a few things you can do to ensure a successful outcome for your calculus bridge removal procedure. First and foremost, it's important to maintain good oral hygiene habits, including brushing twice a day, flossing daily, and using an antibacterial mouthwash. Additionally, you should avoid eating hard or crunchy foods, as they can cause further damage. Finally, you should see your dentist regularly for checkups and cleanings.

Conclusion

Calculus bridge removal is a safe and effective procedure when it is performed correctly. By understanding what a calculus bridge is, the various techniques used to remove them, the risks associated with the procedure, and what you can do to ensure a successful outcome, you'll be better prepared for your upcoming appointment. Always remember to speak to your dentist about any concerns you may have and to follow their instructions for post-procedure care.